
審美歯科治療ではただ機能を回復するだけではなく、健康的で理想的な口元に回復させることも考え治療を行います。
元の状態に戻すのか、理想としている状態に改善するのかを相談の上、最善の治療方法をご提案します。
また、使用する材料もそれぞれメリット・デメリットがありますのでご希望やご予算などに合わせてアドバイスさせて頂きます。
| 項目 | 写真 | 審美性 | 耐久性 | コメント |
|---|---|---|---|---|
| オールセラミック | ![]() |
◎ | ○ | 自然で透明感のある白さで汚れが付きにくい |
| メタルセラミック | ![]() |
○ | ◎ | 欠損部分など強度が必要な場所に適している |
| ハイブリッド セラミック |
ー | ○ | ○ | 日常での自然さ |
| ゴールド | ![]() |
△ | ○ | 適合性が良く金属アレルギーになりにくい |
| 銀歯 | ![]() |
△ | ○ | 保険で使用する合金で経年的な劣化が見られる |
| 項目 | 写真 | 審美性 | 耐久性 | コメント |
|---|---|---|---|---|
| オールセラミック | ![]() |
◎ | ○ | 審美性、耐久性に優れている |
| ハイブリッド セラミック |
ー | ○ | ○ | 自然な白さ |
| ゴールド | ![]() |
△ | ○ | 適合性が良く金属アレルギーになりにくい |
| 銀歯 | ![]() |
× | △ | 被せ物で使用する場合よりも汚れが付きやすい |
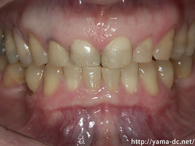
<治療前>
患者様のご希望を伺った後、上顎はセラミックを使用した審美歯科治療と下顎はオフィスホワイトニングを併用して治療することになりました。
また歯ぐきの形態を揃えるために歯周外科も行いました。
<治療後>
綺麗な歯ぐきのラインと自然な形態を回復出来ました。
患者様には大変満足して頂きました。