
歯周病に罹ってしまったら初期治療として原因の歯周病菌を取り除く必要があります。
しかし、残念ながら歯周病に罹ってしまった歯周組織は治療をしても再生することはありません。
治療が終了しても、歯周病の進行を止める、もしくは進行のスピードを遅くするのが現状です。
治療が終了しても骨が溶けてしまったために、「隙間が大きくお手入れがしにくい…」「しっかり噛めない…」のようなケースも起こります。
そのような場合も骨を再生する治療を施せば抜歯をせずに長持ちさせることができるケースもあります。
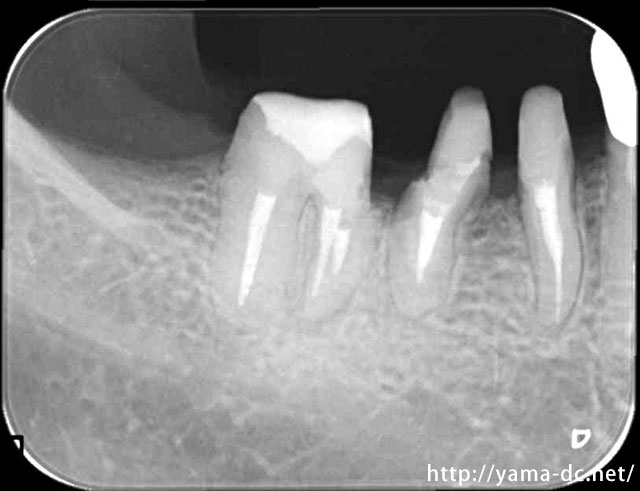
また、歯ぐきの下まで虫歯が進行したため清掃不良になり、歯周病を併発しているような場合もあります。
そのような時は虫歯治療と歯周外科を行い出来る限り保存を優先します。
抜歯をして入れ歯、ブリッジ、インプラントに置き換えるのではなくご自分の歯を残すためにスタッフ一同尽力させて頂きます。










被せ物除去後
APF6か月後
歯周外科治療を行う事で歯ぐきと虫歯の治療がきちんと出来ている事が分かると思います。

