ホワイトニング

ホワイトニングで健康的な印象へ

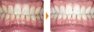
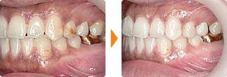
ホワイトニングティースケア

メンテナンスされた歯は顔全体を若々しく健康で美しく見せます。
健康で美しい口腔内を保つ為ワンランク上のメンテナンスを求める方々に新しいクリーニングシステムを導入しました。

新しいティースケアのご紹介

クイックジェット(来院回数1回、治療時間約1時間〜、1回5,000円〜 ※税別)

■クイックジェットとは・・・
専用の機械で細かい粒子とエアーを使用し、歯の細部のステインまで落とします。

■このような方におすすめします

  • 歯の表面に着色のある方
  • 歯と歯の間に細かい着色のある方
  • 着色の再付着を予防したい方
PMTC(来院回数1回、治療時間約1時間30分〜、1回10,000円〜 ※税別)

■PMTCとは・・・
歯科衛生士による、専用の機械や研磨剤を使用した歯のクリーニングです。

■このような方におすすめします

  • 歯の色が気になる方
  • 口元をイメージアップしたい方
  • 結婚式・成人式などの大切なイベントを控えている方
  • お時間がなくまとめて1回できれいにしたい方
ティースマニキュア(来院回数1回、治療時間約1時間〜、1歯 5,000円 ※税別)

■ティースマニキュアとは・・・
歯を削らずに表面を一層コーティングすることにより、白い歯を体験して頂けます。

■このような方におすすめします

  • 虫歯を予防したい方
  • 歯のくすみを除去したい方
  • ホワイトニングが出来ない方
ホワイトニング(来院回数2回〜、治療時間約1時間〜、片顎上下どちらか15,000円※税別)
上下同時の場合 30,000円、ホームホワイトニング薬液追加1セット 5,000円 ※税別

■ホワイトニングとは・・・
加齢や嗜好品の要因で変色した歯を専用の薬剤で白くします。

ホワイトニングには歯科医院で行うオフィスホワイトニングホームホワイトニングがあります。
オフィスホワイトニングは素早く効果が現れますが、歯の負担が大きく時折不自然な白さになることがあります。
一方、ホームホワイトニングは時間がかかりますが、比較的ナチュラルな白さになって長持ちします。
両者にメリット、デメリットがありますので詳しくはホワイトニング専門スタッフにお気軽にお問合せください。

■このような方におすすめします

  • 削らずに歯を白くしたい方
  • アンチエイジング効果を得たい方
オフィスホワイトニング
ホワイトニングジェルを使用し歯科医院で行うホワイトニングです。
1回目:診査・カウンセリング、術前クリーニング1回(治療時間1時間)
2回目:ホワイトニング治療後、ホワイトニング効果の確認とフッ素ケア
ホームホワイトニング
患者様各自専用のマウスピースをお作りし、自宅で行うホワイトニングです。
2週間で1セットになっています。
1回目:診査・カウンセリング、マウスピース作製の型取り
2回目:使用説明・術前クリーニング
3回目:2週間後、ホワイトニング効果の確認とフッ素ケア